Implantes dentales y limitaciones óseas
En el mundo de la implantología dental, los profesionales enfrentan desafíos únicos al encontrarse con casos en los que el hueso destinado para la colocación de implantes no cumple con las condiciones óptimas.
Las dimensiones inadecuadas, tanto en anchura como en altura, plantean obstáculos significativos en la búsqueda de resultados exitosos.
En la vanguardia de esta problemática, cirujanos dentales y especialistas en implantología de Olympia Quirónsalud, están dedicando esfuerzos a abordar estos desafíos de manera innovadora. La detección temprana de huesos incompatibles se ha vuelto esencial, impulsando a los profesionales a explorar nuevas estrategias y soluciones para superar las restricciones anatómicas.
Imagen en alta resolución. Este enlace se abrirá mediante lightbox, puede haber un cambio de contextoSegún el doctor Manuel Chamorro, jefe de servicio de Cirugía Maxilofacial de Olympia Quirónsalud, cuando una zona del maxilar o de la mandíbula pierde los dientes, el hueso donde éstos estaban alojados, experimenta un proceso de atrofia progresiva. "Primero comienza un adelgazamiento de la zona y posteriormente una pérdida de altura del reborde óseo. Este proceso de atrofia se debe a que las fuerzas masticatorias han dejado de producirse en la zona que ha perdido los dientes. Llega un momento en que este hueso es tan fino y está tan bajo, que no puede admitir un implante dental.
Pero otra causa de pérdida de hueso son los problemas inflamatorios que han sufrido los dientes a lo largo de su vida.
En este sentido, la existencia de flemones, fístulas y enfermedad peridontal ocasionan pérdidas progresivas del hueso. "Los dientes comenzarán a moverse cada vez más por la pérdida de hueso que está ocurriendo a su alrededor. Al final del proceso la cantidad de hueso que va a quedar disponible, será muy escasa. Por este motivo, cuando el diente presenta una movilidad importante, puede ser más sensato extraerlo y sustituirlo por un implante, que dilatar el proceso en el tiempo, ya que esto conllevará una pérdida de hueso mayor", recomienda el doctor Chamorro.
También es verdad, señala el cirujano maxilofacial de Olympia, que una causa de pérdida de hueso son algunos implantes que han dado problemas a lo largo del tiempo. "En ocasiones vemos implantes colocados tiempo atrás, que con el paso de los años han producido algún problema inflamatorio y se acaban perdiendo, ocasionando, generalmente, importantes defectos de hueso".
En estos casos, se están implementando técnicas de aumento de hueso mediante injertos óseos y/o regeneración ósea, donde se estimula el crecimiento y la fortaleza del hueso mediante procedimientos avanzados. Como afirma el Dr. Chamorro, los avances en materiales y tecnologías juegan un papel crucial, permitiendo adaptar los implantes a las condiciones específicas de cada paciente".
En Olympia disponen de diversas técnicas, según la cantidad de hueso que tengan que aumentar para la posterior colocación de los implantes.
El Dr. Manuel Chamorro describe alguna de ellas: Elevación de seno maxilar, técnica muy habitual que permite ganar altura del hueso en la zona posterior del maxilar superior. "El hueso injertado, que se deposita en el seno maxilar convenientemente aislado, se compone de partículas óseas tomadas del propio paciente por rascado, a las que se le añade hueso artificial".
Imagen en alta resolución. Este enlace se abrirá mediante lightbox, puede haber un cambio de contexto"En los casos en los que la pérdida de hueso es en anchura, debemos recurrir a los injertos óseos en bloque. Se trata de obtener pequeños fragmentos de hueso que serán fijados a los maxilares, de forma que la anchura de éstos se verá incrementada. La fijación se realiza mediante pequeños tornillos y en un periodo de 4 a 6 meses podremos colocar los implantes", indica el doctor.
Existen otras técnicas como la lateralización del nervio dentario, que se realiza en casos de déficit de altura mandibular posterior. El nervio dentario inferior impide la colocación de implantes en casos de pérdida ósea mandibular posterior. "Mediante esta técnica desviamos el curso de este nervio y colocamos los implantes simultáneamente. No siempre es factible su realización y cada caso debe ser estudiado individualmente".
De acuerdo al especialista, un procedimiento que realizamos para ganancia en altura, generalmente en la zona posterior de la mandíbula, es el injerto en sándwich o inlay, que consiste en tallar un segmento del hueso que es desplazado hacia arriba. "Por debajo de él, insertamos un injerto óseo en bloque y, pasados 4 meses, colocaremos los implantes".
El doctor Chamorro explica que puede darse el caso de que la atrofia maxilar sea de tal intensidad que ni siquiera estaría indicado realizar injertos de hueso. Afirma que es debido a que un injerto de hueso precisa un lecho receptor que lo soporte y lo nutra adecuadamente. "En los casos de atrofias muy severas, el hueso atrófico no es capaz de albergar, dar soporte y nutrición a un injerto óseo. Por tanto, no se podrían realizar", advierte el doctor.
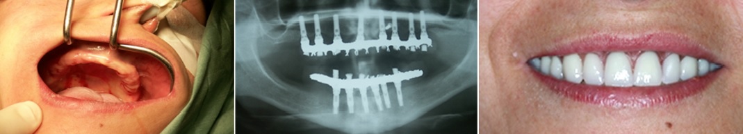
Imagen en alta resolución. Este enlace se abrirá mediante lightbox, puede haber un cambio de contextoPara estos casos tan severos, señala Manuel Chamorro, se han desarrollado 2 técnicas diferentes: "Por un lado los implantes cigomáticos que se trata de unos implantes más largos que los habituales que se insertan en el hueso cigomático (hueso del pómulo) y se pueden combinar con implantes convencionales. Pueden colocarse 2 cigomáticos en combinación o 4 implantes cigomáticos que pueden ser suficientes para colocar una rehabilitación dental completa y fija".
Y por otro, según el experto, recientemente se ha introducido y desarrollado los implantes subperiósticos a medida. "En este caso se trata de una estructura, diseñada a medida, que abraza, se adapta y se fija íntimamente al hueso por su cara externa. Por tanto, la estructura no entra en el hueso, sino que se apoya en su superficie. Esta estructura se diseña a medida de cada maxilar previa realización de un TAC 3-D. De la estructura emergen unos cilindros que salen a través de la encía y fijan la prótesis dental".
Para el Dr. Manuel Chamorro, las ventajas de esta técnica son evidentes: permite colocar prótesis dentales fijas en maxilares muy atróficos de una manera sencilla. La prótesis dental se coloca el mismo día, ya que no hay que esperar un tiempo de osteointegración. No se invade el seno maxilar. Por lo que puede realizarse sin problemas incluso en pacientes que han sufrido sinusitis.
"Nosotros realizamos en Olympia los implantes cigomáticos y los subperiósticos bajo anestesia general en régimen ambulatorio. El paciente es dado de alta una o dos horas después de la colocación de los implantes y la prótesis, concluye el Dr. Manuel Chamorro.



